真實講述種植牙修復步驟(附種牙過程圖解)

編輯:長安 更新時間:2025-04-21 23:35:20 來源:開立特口腔 閱讀:

通過幾次陪同老爸做種植牙,對整個種牙過程有了比較詳細的了解,下面就給牙友們總結了種植牙修復的步驟和過程,并附上種牙過程圖解。

從老爸早些年開始做的首顆種植牙算起,前前后后也近10年了,中間又先后種了幾顆,說實話,從技術到效果這些年也是在不斷更新和提高?,F在就我全程陪護中看到的種植牙步驟和過程,給大家詳細講一講,為了更直接明了些,附上幾張專門搜索來的種植牙圖解。

種植牙宣傳圖

真實講述種植牙修復步驟有哪些?

1、做種植牙前,醫(yī)師會詳細詢問以往的病史,做必要的全身和口腔檢查,拍X線片,來了解種牙部位的骨質和骨量,再確定是否適宜做種植牙手術(糖尿病、骨質疏松癥等都會影響骨質量。因此,術前應如實告知醫(yī)生,以評估手術風險。);

2、結合患者要求,醫(yī)生會提供合適的種植治療方案;

3、手術方案和時間確定后,醫(yī)生會在局部麻醉下將種植體植入牙床骨內,進行縫合,7-10天后拆線;

4、接下來進入長達3—6個月的骨愈合期。具體愈合時間以自身牙床的骨質狀況而定,如果骨質條件差或用了骨增量技術,則愈合期更長一些;

5、當種植體完全與頜骨結合后,會在植體上連接一個愈合基臺,使牙齦軟組織袖口在2到3周內成形;

6、當軟組織袖口形成后,醫(yī)生會用長久性基臺替換愈合基臺,然后取印模,進行牙冠或牙橋設計;

7、當牙冠做好并安裝完成,一例種植牙手術就算完成了。

種植牙過程及種牙過程中圖解:

1、切開牙齦,露出牙骨窗,現一般都采用微創(chuàng)技術,疼痛感輕微;

種植牙圖解之<span style=

2、在牙槽骨上面鉆個小孔,方便放入種植體;

種牙第二步,牙槽骨打孔

3、植入種植體,植體很快便會與牙槽骨相結合;

種植牙過程第3步圖解

4、安裝愈合帽,等待3-6個月時間,讓牙組織和種植體結合,穩(wěn)固牙基;

種植牙第4步過程圖

5、取下愈合帽,安裝長久修復基臺;

種植牙第5步安裝修復基臺圖

6、安裝牙冠,種植完成。

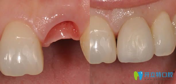
種植牙步驟完成后的前后對比圖

那么種植牙過程痛嗎?

上面也提到,目前的種植牙技術比前幾年進步好多,現大多用的都是微創(chuàng)技術,再加上較好的麻醉術,基本上是感覺不到多大疼痛的,都是在完全可以接受的范圍。

以上就是對于種植牙整個步驟和過程的介紹,一例成功的種植牙它的功能及外觀都類似于天然牙,缺牙的朋友可以放心去嘗試這種人工種牙的修復方法,不過價格確實有點小貴,還需結合自己的經濟能力去選擇不同的種植牙品牌,每個品牌的收費價格也都是不同的。

推薦閱讀:

種植牙國產好還是進口好?國產種植體和進口種植體區(qū)別在哪

看了全口種植牙價格表 驚訝種植牙為什么那么貴是行業(yè)暴利??

整理的韓國種植牙品牌排行榜中內附奧齒泰/登騰等植體價格

種植牙相關項目價格表:

項目 價格范圍(元)
種植牙 4050 - 27368
種植體植入 3000 - 15000
基臺安裝 1000 - 5000
牙冠制作與安裝 1000 - 10000
術前檢查 200 - 1000
術后護理及復查 300 - 2000

相關推薦

最新資訊

最新牙科醫(yī)院

宿州牙衛(wèi)士口腔門診部怎么樣?親測后告訴你真實體驗,醫(yī)生技術靠譜不踩雷

宿州牙衛(wèi)士口腔門診部怎么樣?親測后告訴你真實體驗,醫(yī)生技術靠譜不踩雷

擅長:種植牙,烤瓷牙,齲齒,根管治療,牙齒美白,牙齒矯正,全瓷牙,牙套,拔牙,洗牙,,地包天,活動義齒,補牙,皓齒美白,激光美白,冷光美白,瓷貼面美白,氟斑牙,四環(huán)素牙,窩溝封閉
杭州品凱口腔診所

杭州品凱口腔診所

擅長:種植牙
柳州牙立方口腔門診部

柳州牙立方口腔門診部

擅長:種植牙,烤瓷牙,齲齒,根管治療,牙齒美白,牙齒矯正,全瓷牙,牙套
成都甜美口腔診所

成都甜美口腔診所

擅長:種植牙
聯系我們   用戶協議   網站介紹   網站地圖   移動版 粵ICP備19104784號-2

熱點關注: A B C D E F G H I J K L M N O P Q R S T U V W X Y Z

Copyright©2008-2025 開立特口腔http://www.gh0097.com 本站內容來自于互聯網網友分享,不作為診斷依據。如有侵權請 投訴反饋處理,將在三個工作日刪除。

口腔醫(yī)院排名依據用戶訪問量、口碑評價、用戶提問等數據綜合得出,不代表醫(yī)院技術與醫(yī)療效果,請至醫(yī)院實地考察